Виниры за один день — реально? Разбираемся с экспертами из «Лавиани»
Предновогодние месяцы — самое время обрести белоснежную улыбку, которая кардинально меняет жизнь и отношение к ней. За профессиональной помощью по вопросам улыбки-мечты мы обратились в стоматологическую клинику «Лавиани». С чего начать и реально ли решить вопрос за один день? Подробностями с «Ключ-Медиа» на этот счет поделились стоматолог-ортопед клиники Никита Кадыков и хирург-имплантолог Алексей Комаров.
Я хочу красивую улыбку. С чего начать?
Далее врач терапевт проводит подготовку: профессиональную гигиену, лечение кариеса и пульпита. Также на этом этапе часто необходимо залечить каналы, удалить «зубы мудрости». Если принято решение делать имплантацию, тогда хирург вживляет искусственный зуб.
Какие методы протезирования предлагает «Лавиани»?
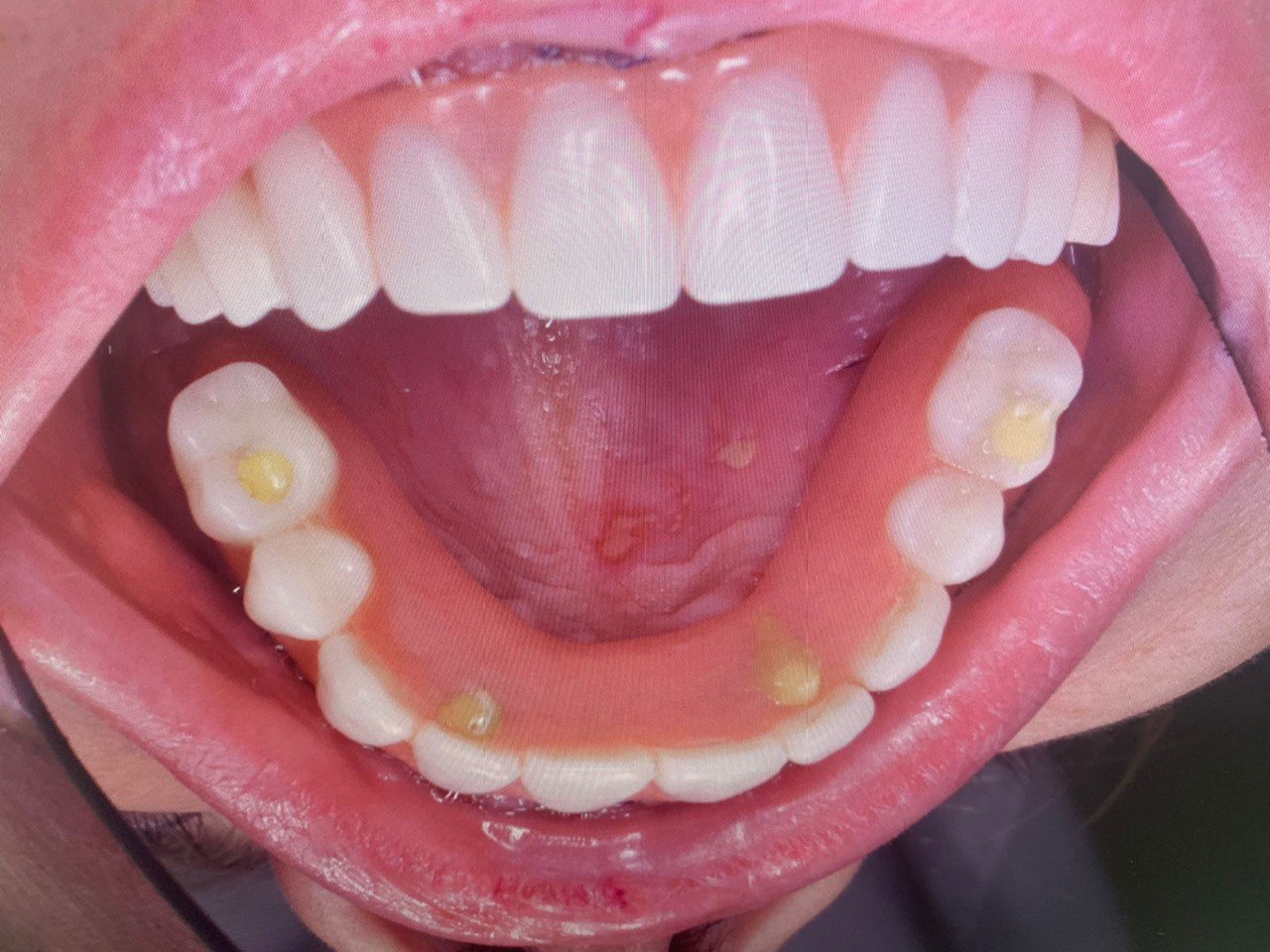
При частичном повреждении одного или нескольких зубов можно использовать вкладки. Они помещаются в обширную кариозную полость, когда пломбу поставить уже нельзя. Либо к коронкам — «колпачкам», которые заменяют коронку настоящего зуба, защищают слабый или сильно разрушенный зуб. Коронки бывают разных материалов: металлокерамические, циркониевые, керамические. Культевые вкладки и вкладки e-max относят к такому направлению, как микропротезирование.
В случае, когда полностью отсутствует верхний, нижний или оба зубных ряда, используют съемное и несъемное протезирование на имплантатах.
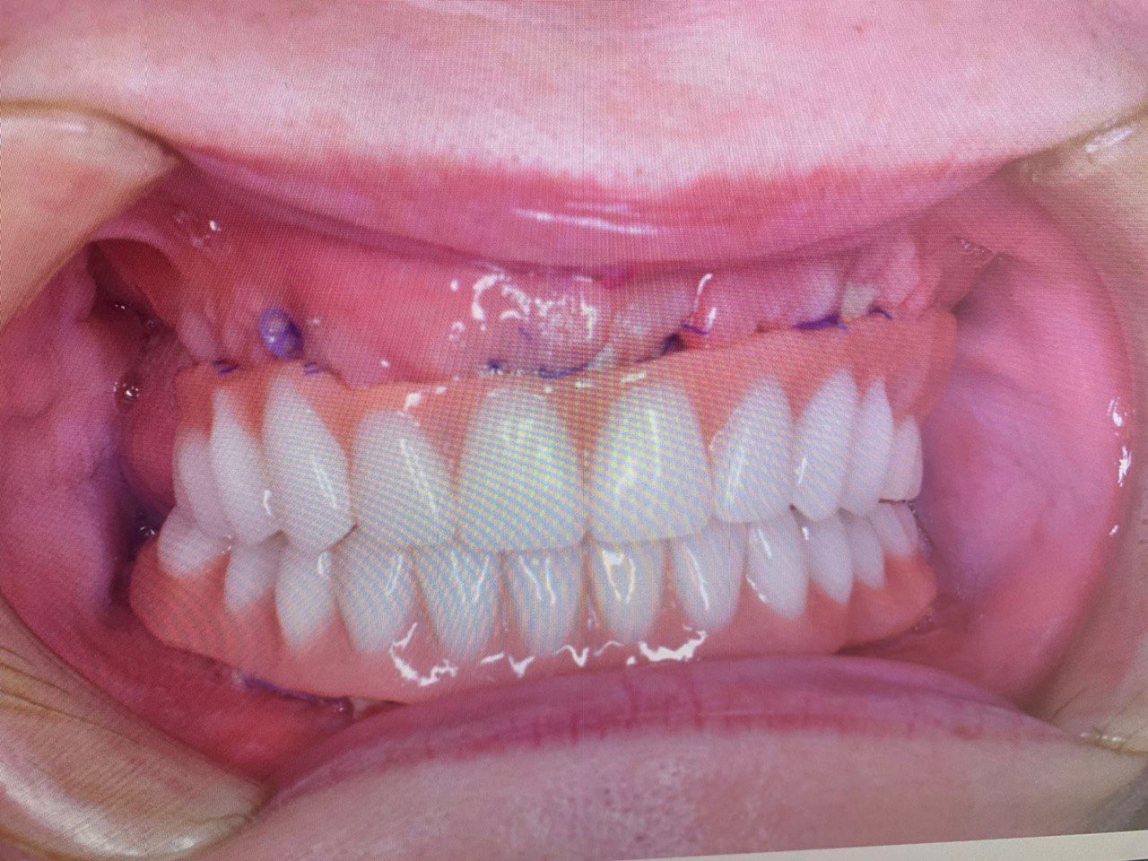
Метод all on 4 / 6: немедленная нагрузка имплантатов в день операции — протокол операции, при котором пациент в этот же день получает новую улыбку и может полноценно пользоваться своими зубами. Этот протокол подразумевает под собой удаление поврежденных зубов, которые не подлежат реставрациям и протезированию, установку 4-6 имплантатов и протезирование в этот же день! К имплантатам прикручивается несъемный адаптационный (временный) акриловый протез, усиленный титановой балкой. Данный протокол позволяет уйти от классического ожидания приживления имплантатов (в среднем 4-6 месяцев), от различных остеопластических операций — костной пластики, синус лифтинга.
Установленными протезами можно полноценно пользоваться сразу, только первые 2-3 недели пациенту необходимо придерживаться определенных ограничений в плане пищи. Постоянный протез изготавливается не менее чем через 4 месяца после операции. Также при проведении операции имплантаты устанавливаются под углами, что позволяет обойти важные анатомические структуры на верхней и нижней челюстях.
Зубы пролечили, протезирование сделали. Что дальше?
А дальше эстетическая стоматология — финальный шаг к обретению голливудской улыбки после подготовки, лечения и протезирования зубных рядов. За это отвечают виниры — тончайшие накладки, которые фиксируются на зубы и воссоздают желаемую форму и белизну. При их установке на верхней поверхности зуба путем аккуратного стачивания создается полость, куда и «монтируется» эта накладка. Виниры бывают керамические и из диоксида циркония.
Сколько времени займет полный цикл лечения до обретения белоснежной улыбки?
Срок полного лечения для каждого индивидуален, однако в стоматологии «Лавиани» заявляют: предваряющее установку виниров полное протезирование можно провести и за один день, если не требуется вживление имплантатов.
Какие есть противопоказания установке виниров?
Противопоказанием установки виниров может стать неправильный прикус. Однако читатели «Ключ-Медиа» уже знают, что делать! Сначала записываемся к ортодонту на установку элайнеров или брекетов, а уже потом занимаемся эстетикой. В любом случае, в «Лавиани» сделают всё «под ключ», комплексно, экспертно и с заботой.
Как долго мне прослужат виниры?
Срок жизни всех искусственных конструкций индивидуален, но повлиять на него можно регулярным, осознанным уходом.
Почему следует выбрать «Лавиани»?
Во-первых, специалисты клиники-эксперта работают по передовым принципам новой эры цифровой стоматологии:
Во-вторых, в «Лавиани» всегда расскажут пациенту подробно обо всех вариантах, при этом ничего не навязывая:
*ИМЕЮТСЯ ПРОТИВОПОКАЗАНИЯ, НЕОБХОДИМА КОНСУЛЬТАЦИЯ СПЕЦИАЛИСТА

